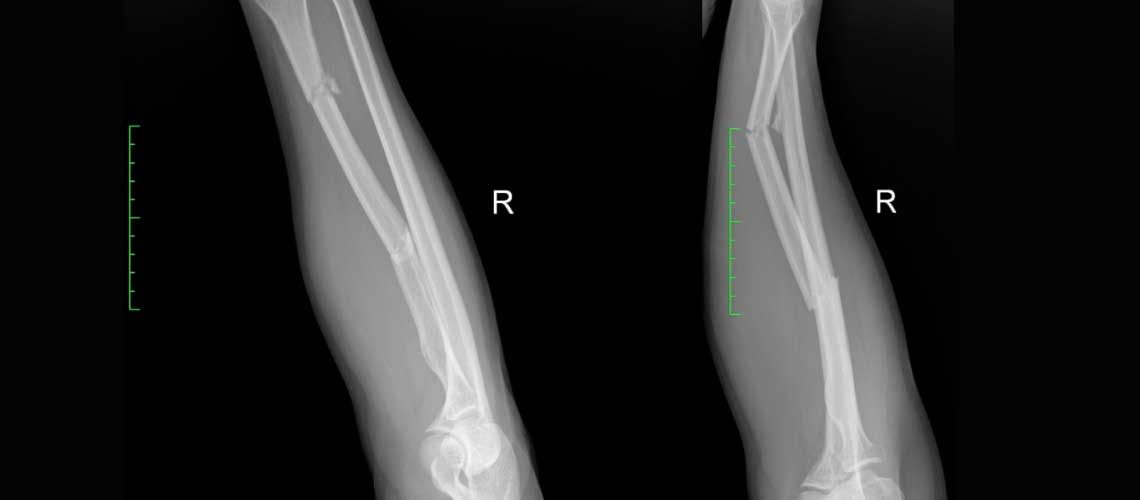
Άνδρας, 43 ετών, υπέστη βαριά κάκωση αντιβραχίου κατά τη διάρκεια αγώνα μπάσκετ. Ο ασθενής μεταφέρθηκε άμεσα στο νοσοκομείο όπου ο ακτινολογικός έλεγχος ανέδειξε διπολικό κάταγμα κερκίδας.
Τα κατάγματα κερκίδας είναι μια από τις πιο συχνές αθλητικές κακώσεις του άνω άκρου και προκύπτουν συνήθως μετά από πτώση και στήριξη στο χέρι. Ωστόσο, τα διπολικά κατάγματα, αυτά που χαρακτηρίζονται από διπλό κάταγμα με αποτέλεσμα να δημιουργείται ένα κεντρικό ελεύθερο τμήμα στο οστό, είναι κατάγματα που απαιτούν ειδική αντιμετώπιση λόγω της δυσκολίας και της ιδιαιτερότητας στην ανάταξη τους.
Ο ασθενής αντιμετωπίστηκε άμεσα χειρουργικά και υποβλήθηκε σε ανοικτή ανάταξη και εσωτερική οστεοσύνθεση του διπολικού κατάγματος. Για την ανάταξη και οστεοσύνθεση χρησιμοποιήθηκε μια νέα τεχνική όπου έγινε αρχική ανάταξη και των δυο καταγμάτων και διατήρηση αυτής με μικρές πλάκες και βίδες των 2 χιλιοστών. Στη συνέχεια και αφού είχε επιτευχθεί ανατομική ανάταξη έγινε συμπιεστική οστεοσύνθεση με ειδική ανατομική πλάκα μεγάλου μήκους.
Μετεγχειρητικά ο ασθενής ακολούθησε ειδικό φυσιοθεραπευτικό πρόγραμμα και 3 μήνες μετά την επέμβαση επέστρεψε στις αθλητικές δραστηριότητες.


